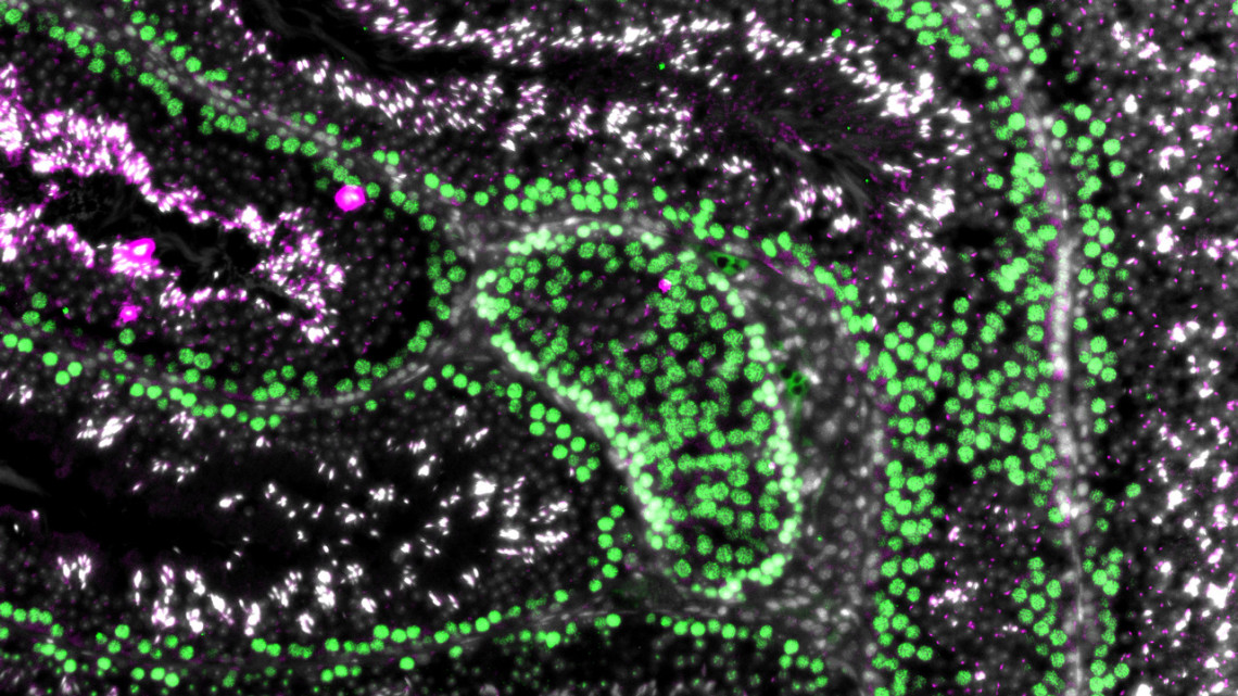
精巣だけにある「指揮者タンパク質」を狙う - ナゾロジー
生物学のニュースbiology news
もっと見る
「DNAには第2のコード」が存在すると判明――遺伝子を密かに黙らせる隠し指令機構の正体

昆虫なのに「自分で熱を作って」マイナス6度の雪原で生きるハエがいると判明

猫は「AIでしか見えない速さ」で互いの表情をコピーし合うことが判明――表情の真似っこに隠れた文法

性欲が最も強くなる年齢層が明らかに

人が人を絶対に食べてはいけない「科学的な理由」
役立つ科学情報
10年前までナゾだった「へそのゴマ」の正体とは? ゴミが溜まりやすい人の特徴を紹介
「2050年までに人類は滅亡する」オーストラリアが発表した文明崩壊のシナリオは防げるか
注目の科学ニュースpick up !!

「女王しかいないアリ」を世界で初めて報告ーー子育ての仕方が恐ろしかった

一卵性双生児の男性2人と性交・出産した女性、どちらが”父親”か分からなくなる

空間から粒子が出現する様子を初めて捉えた――真空のゆらぎから質量が生じる可能性