精巣だけにある「指揮者タンパク質」を狙う

では具体的に、その”真ん中の段階”のどこを狙うのか。
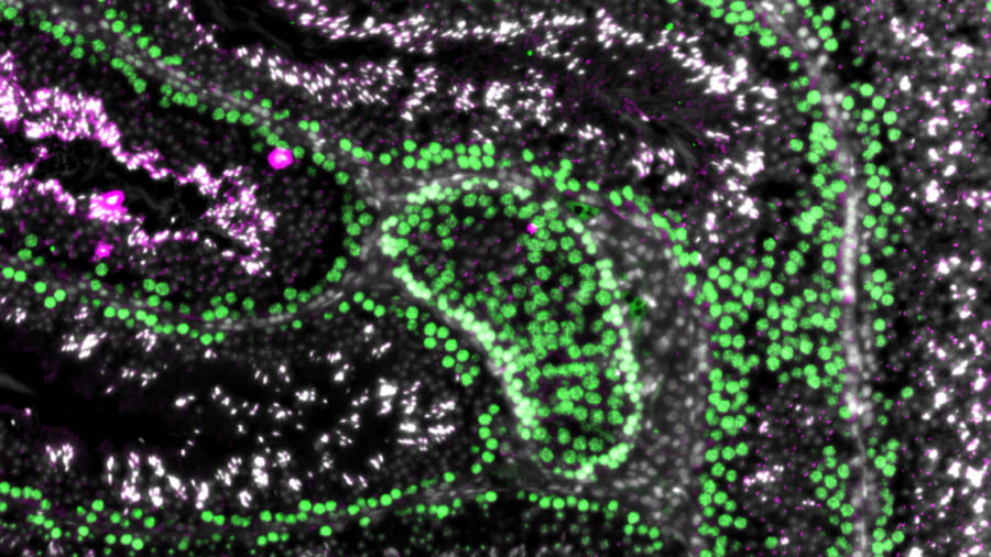
ここで重要になるのが「数千の遺伝子が一気に読み出される爆発的な転写現象(パキテン転写バースト)」です。
名前からして大げさですが、実際大げさなイベントです。
精子完成に必要な数千の部品レシピを、細胞が一気に読み出す瞬間——全生産ラインに一斉号令がかかる、工場の祭りのような時間。
この祭りが中止になれば、精子はその間完成しません。
この大号令を出している指揮者が、BRDTというタンパク質です。
そしてこのBRDT、驚くべき性質を持っています。
人間の体の中で、精巣にしか存在しないのです。
脳にもない、心臓にもない、肝臓にもない。
精巣の専属スタッフです。
このBRDTを狙うために現在使える薬として知られているのが「JQ1」という薬です。
もともとはがん研究のために作られたJQ1ですが、2012年にテキサス・ベイラー医科大学のMatzukらのグループが男性避妊薬の候補として初めて報告しました。
ちなみにJQ1という名前は、この化合物を合成したハーバード大学の化学者ジェームズ・ブラッドナー(James Qi Bradner)のイニシャルに由来します。
しかし、この”本当に元に戻るのか”という根本的な問いへの回答は、長らく保留されたままでした。
精子の数は戻っても、遺伝子の働きは元に戻っているのか。
染色体の組み換えに狂いは残らないのか。
そして最も重要な問い——その後に生まれる子どもに影響はないのか。
ここを徹底的に検証した研究が、これまで存在しなかったのです。


























![[SANYU] ニトリル手袋 ニトリルグローブ 使い捨て手袋 青 ブルー 食品衛生法適合 0.08mm 厚手 粉なし 100/300/500/1000枚入 (3箱(100枚×3), L)](https://m.media-amazon.com/images/I/51e8KQcXwdL._SL500_.jpg)

![シルバーバック かわいい海の生きもの CUBE 2X2 キューブ ツーバイツー|海の生き物デザイン 立体パズル スピードキューブ 5cm 子ども〜大人向け 知育 ギフトに最適 ([バラエティ])](https://m.media-amazon.com/images/I/41EJOOLgGXL._SL500_.jpg)























